Les solutions d’orthodontie
pour les adolescents

Le Dr Assayag, Orthodontiste Spécialiste, vous reçoit dans son cabinet avec son équipe pour des traitements orthodontiques chez l’adolescent à Ozoir-la-Ferrière.

Afin de vous proposer les meilleurs soins possibles et une excellente prise en charge, nous disposons d’équipements modernes pour réaliser des radios et des empreintes numériques notamment.

Quel traitement pour les adolescents ?

L’orthodontie pour adolescents dispose de plusieurs types de traitements selon chaque besoin unique. Le port d’un appareil orthodontique est généralement un passage obligé pour l’adolescent. Bien souvent redouté, l’appareil dentaire moderne offre une large gamme de possibilités, pour un port beaucoup plus agréable et plus discret qu’auparavant.

Il existe plusieurs types de traitement pour les adolescents, la préconisation se fait en fonction de la pathologie.

  • A cette période il est possible de jouer sur la croissance des mâchoires. Lorsque le patient a toutes ses dents définitives, les traitements d’orthodontie peuvent aller d’un simple alignement à la gestion de cas complexes, tels des dents incluses dans le palais.
  • Le traitement le plus courant est l’orthodontie vestibulaire transparent ou métallique.
  • D’autres techniques peuvent être proposées en fonction des spécificités du patient.

Quelle durée pour quel traitement ?

Comme chez les traitements pour adultes, un traitement d’orthodontie pour adolescents nécessite un temps précis selon chaque patient pour corriger la dentition. Avec des brackets, cela peut varier selon plusieurs critères.

  • La correction à apporter : l’importance du traitement agit sur sa durée, mais aussi la vitesse de réaction du corps du patient. En effet, un même traitement peut prendre plus ou moins de temps selon l’individu.
  • L’implication du patient : sa détermination à suivre le traitement, son assiduité à porter les dispositifs orthodontiques et sa présence aux différents rendez-vous avec son orthodontiste sont autant de critères déterminants dans la réussite du traitement.

Les traitements classiques

Orthodontie Céramique

Grâce à son esthétique transparente, l’appareil dentaire en céramique est une option intéressante, car moins visible que l’appareil dentaire métallique. Il est très solide et ne se tache pas : de véritables avantages pour vous au quotidien !

Fait à partir de matériaux composites, l’appareil dentaire en céramique présente l’avantage d’être solide et de ne pas se tacher. Les brackets céramiques sont particulièrement appréciés, notamment par les adultes, car ils se confondent avec les dents et sont moins visibles que les appareils métalliques.

Quant à l’appareil dentaire métallique, il s’agit du premier modèle d’appareil dentaire. Les attaches métalliques étaient traditionnellement utilisées avant l’apparition des attaches céramiques ou des appareils dentaires invisibles. Solides, elles permettent de traiter tous les cas, même les plus complexes.

Orthodontie métallique auto-ligaturante

Solution la plus efficace, mais la moins esthétique de la liste, l’appareil dentaire métallique autoligaturant est un traitement spécifique d’orthodontie pour adolescents qui peut se fermer par lui-même. Plus besoin d’utiliser de petits élastiques : votre appareil est plus hygiénique et plus efficace !

Les traitements invisibles

Gouttières transparentes

Ce procédé d’orthodontie invisible offre tout d’abord un gain esthétique très important. Les gouttières sont transparentes, donc quasi invisibles. Il s’apparente en cela au port d’un appareil dentaire invisible.

Le traitement par gouttières thermoformées repose sur l’utilisation d’une série de gouttières transparentes (aligners) évolutives. Elles permettent d’aligner les dents progressivement selon le plan de traitement établi par le praticien. Il s’agit d’un moyen d’agir sur la position de vos dents de manière quasi invisible.

Une fois les gouttières fabriquées, vous devrez les porter pendant environ deux semaines chacune en ne les enlevant que pour boire, manger et vous brosser les dents. Au fur et à mesure que vous avancerez dans le traitement, vos dents se réaligneront progressivement, jusqu’à ce qu’elles atteignent la position finale corrigée. Vous aurez des rendez-vous de contrôle beaucoup plus espacés que lors d’un traitement classique. En effet, vous n’avez pas besoin de voir votre orthodontiste pour activer la nouvelle gouttière.

L’orthodontie linguale

Réalisé sur mesure, l’appareil dentaire lingual est l’une des solutions invisibles en orthodontie. Il se place sur la face interne des dents pour davantage de discrétion. C’est un traitement qui est plus délicat, mais très efficace.

L’orthodontie linguale est également une solution esthétique pour votre traitement orthodontique. Les brackets utilisés, placés sur la face interne des dents, sont entièrement individualisés pour proposer une disposition adaptée à chaque phase du traitement. Chaque bracket est fabriqué grâce à une technologie numérique de lecture optique des empreintes.

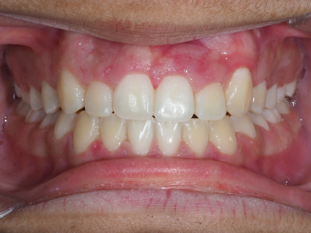
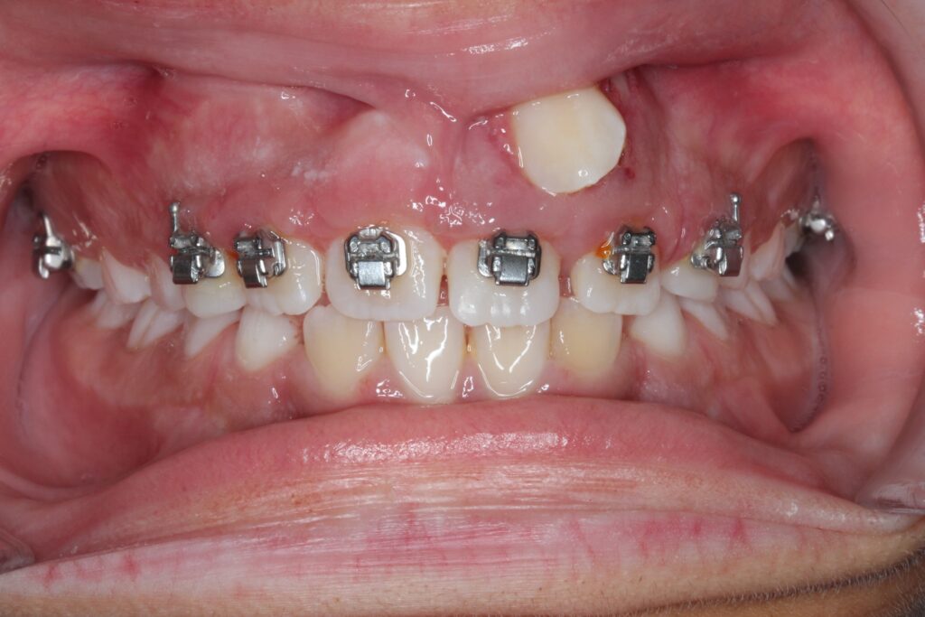
Exemples de cas traités par le Dr Michel Assayag